

DentShift

molar demosu blender üzerinden
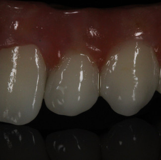
Mr Paulo Malo Bridge
Kişiselleştirilmiş oklüzyon ,kombine materyal uygulaması ve sonuç

Fiber Üstü Kompozit Bloklar: Dayanıklılık ve Estetiğin Yeni Nesil Buluşması
Fiber üstü kompozit bloklar, dijital diş hekimliği ve laboratuvar protetik çalışmalarında son yıllarda öne çıkan yenilikçi materyallerden biridir. Bu bloklar, yüksek dayanım sağlayan fiber takviyeli bir alt yapı üzerine estetik kompozit yüzey kaplamasıyla üretilir. Böylece hem mekanik direnç hem de doğal diş benzeri estetik bir arada sunulur.
Avantajları:
🦷 Yüksek Dayanıklılık: Fiber takviyeli yapı, kırılmalara ve çatlamalara karşı klasik kompozit bloklara göre çok daha dirençlidir. Özellikle uzun köprülerde ve implant üstü restorasyonlarda güven verir.
🎨 Mükemmel Estetik: Kompozit üst yüzey, doğal ışık geçirgenliği ve renklendirme olanakları sayesinde diş rengine birebir uyum sağlar. Özellikle ön bölge restorasyonlarında etkileyici sonuçlar verir.
⚙️ Kolay İşlenebilirlik: CNC sistemlerinde (CAD/CAM) hassas bir şekilde işlenebilir. Sonraki renklendirme ve cilalama işlemleri kullanıcı dostudur.
💡 Tamir Edilebilirlik: Ağız içi tamire uygun yapısıyla klinik sonrası küçük düzenlemeler mümkün olur, bu da kullanıcıya uzun vadeli çözüm sunar.
Daha önceki çalışmalarımız Fiber üstü kompozit

Zirkon destekli porselen
Kompozit bloklar

Kompozit yeni cad sistemleri yavaş yavaş piyasaya giriyor
Kompozit bloklar aşınma paterni, biyolojik uyumu ve estetiğiyle yakın süreçte çok yaygınlaşacak. Ben yaklaşık bin vaka bitirdim, bazı eksikleri ve gelişmesi gereken noktalar var ama doğru endikasyonla doğru sonuçlar alabilirsiniz.
Monolotik zirkonyum ham tesviye ve tasarım ile ilgili sorularınızı bana iletebilirsiniz

🦷 Monolitik Zirkon
Katman yok, sürpriz yok.
Tek blok, yüksek translusensi, maksimum dayanıklılık.
Posterior güven, anterior kontrol.
#monolitikzirkon #dentalteknisyen #cadcam #zirkon #dentalab #dişlaboratuvarı #protezdiş #dentallab #keşfet #explore
👋 Hoş Geldiniz!
Bu grup, dijital protez tasarımıyla ilgilenen teknisyenler için oluşturuldu.
🔹 Çalışmalarınızı paylaşabilirsiniz 🔹 Sorular sorabilir, fikir alabilirsiniz 🔹 Gerçek vakalar üzerinden tartışabilirsiniz
📌 İlk paylaşımınızı yapmaktan çekinmeyin.Topluluk birlikte büyür 🚀
FP1 Design😍 Fonksiyon ve gülüş tasarımı hakkında bilgilenmek için iletişimde kalın! :)

tabi ki! Formları satın aldığım sayfaların linklerini paylaşayım bundan sonra sizlerle🤙
Üye
🟢 İlk Adım
🟢 İlk Adım
🧪 Vaka Paylaşımcısı
💬 Katılımcı
🧪 Vaka Paylaşımcısı



























Full dijital iş akışı ile üretilmiştir.